
Brookline Cosmetic and General Dentistry
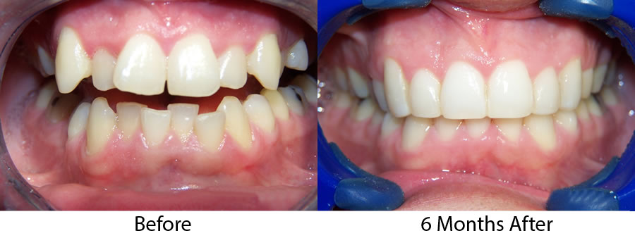
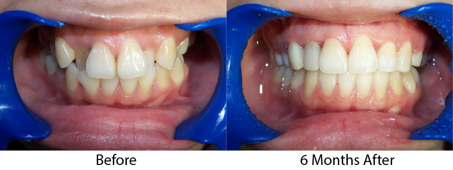
Our proprietary techniques are minimally invasive, personalized, and produce amazing results in a very short time frame. With over 30 years of experience with complex cases, Cleveland Circle Dental Associates maintains a friendly environment in a small caring office that knows your name and takes time to provide thorough communication with every patient. Dr. Georgaklis has performed thousands of complex cases over 30 years and will exceed your expectations.


We Are Special Because WE ARE;
A small office and take the time to be thorough. We provide boutique care catered to your particular needs.
Conservative yet thorough and will not sell you on unnecessary work. We inform. You decide.
Have decades of experience including our carefully selected staff and have the testimonials to show for it.

DR CLIFTON GEORGAKLIS,
YALE ’86, UCONN ’91,
GENERAL AND COSMETIC DENTISTRY AND ORTHODONTICS

DR MARIA GEORGAKLIS,
TUFTS DMD AND CAGS ‘99
PEDIATRIC DENTIST
Call for a Free Consultation
617.277.5200
You will have a clear understanding of your dental needs.
Dr. Clifton Georgaklis Patient Testimonials
S Cambell
Dena Holder
Nisla Docanto
Matt Demarco
Dr. Maria Georgaklis Patient Testimonials
Carol Reyes
Rebecca Abrams
Jen Benway
We offer:
- Root Canals
- Extractions
- Implants:Surgery
- Restoration
- Deep Cleanings
- Gum Surgery
- Emergency Treatment
- Oral Diagnosis + Cancer Screening
617-277-5200
1798 Beacon Street, Brookline, MA
Serving Brookline, Boston, Cambridge, Somerville, Newton, Waltham, Medford, Belmont, Arlington, Wellesley, Needham, Roslindale, Watertown, Chestnut Hill, and the surrounding area












